מחקר חושף: מזון מעובד גורם להצטברות שומן בשריר - וזה יותר מסוכן ממה שחושבים

חוקרים מצאו קשר בין צריכה גבוהה של מזון אולטרה מעובד לבין הצטברות שומן בתוך השרירים. הממצאים מצביעים על פגיעה אפשרית בתפקוד השריר ובבריאות המפרקים, ללא קשר למשקל הגוף או לכמות הפעילות הגופנית

ד"ר איתי גל צילום: אבשלום ששוני
עקבו אחרינו
מוצרי מזון מעובדים במקרר
מוצרי מזון מעובדים במקרר | צילום: AI
3
גלריה

המחקר כלל 615 משתתפים בגיל ממוצע של כ-60, שנכללו במאגר נתונים רחב העוסק באוסטיאוארתריטיס. החוקרים בחנו את הרגלי התזונה של המשתתפים לצד בדיקות MRI של שרירי הירך, כדי להעריך את כמות השומן המצטברת בתוך השרירים וביניהם.

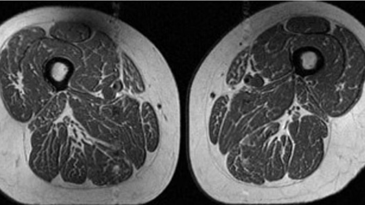
הממצאים הראו שאנשים שצרכו יותר מזון אולטרה מעובד, כמו חטיפים מלוחים, משקאות ממותקים ומזון מהיר, הציגו רמות גבוהות יותר של שומן בין סיבי השריר. מדובר בשומן המכונה שומן בין שרירי, שנוטה להצטבר במצבים של חוסר פעילות או הפרעות מטבוליות. החוקרים הציגו במאמרם את אחת מהדמיות ה-MRI של הירכיים של אחת הנשים שנבדקו. תזונתה כללה 87% מזון אולטרא-מעובד. ההדמיה הראיתה בין סיבי השריר מרבצי שומן רבים.

הדמיית ה-MRI של אחת המשתתפות. מרבצי שומן רבים בין סיבי השריר
הדמיית ה-MRI של אחת המשתתפות. מרבצי שומן רבים בין סיבי השריר | צילום: Radiology journal

בניגוד למה שניתן היה לצפות, הקשר בין המזון המעובד לשומן בשריר נותר משמעותי גם לאחר התאמה לגורמים כמו מדד מסת גוף, צריכת קלוריות ורמת פעילות גופנית. כלומר, גם אנשים במשקל תקין או פעילים גופנית עלולים להיות מושפעים מהרכב התזונה שלהם.

ההשוואה שהציעו החוקרים ממחישה את ההבדל: שריר בריא דומה לנתח בשר רזה, בעוד שריר עם שומן עודף מזכיר נתח שומני שבו השומן משולב בתוך הרקמה. ההבדל אינו רק במראה אלא גם בתפקוד.

כאב שרירים
כאב שרירים | צילום: אינגאימג'

מחקרים קודמים הראו כי עלייה של 1% בשומן תוך שרירי מעלה את הסיכון למחלות לב בכ- 7%. קשרים נוספים נמצאו גם לסוכרת סוג 2. אחת ההשערות היא ששומן בשריר מפריש חומרים דלקתיים, כמו ציטוקינים, אשר תורמים להתפתחות מחלות כרוניות.

המזון האולטרה מעובד, מעבר לתכולת הקלוריות הגבוהה שלו, מתאפיין גם בדלות ברכיבים חיוניים כמו חלבון איכותי, חומצות שומן מסוג אומגה 3 וברזל. רכיבים אלה חיוניים לבניית שריר ולשמירה על תפקודו התקין. כאשר התזונה חסרה בהם, השריר מתקשה לשמור על מבנה בריא.

החוקרים מדגישים שעדיין לא ניתן לקבוע קשר סיבתי מלא, אך הממצאים מצביעים על כיוון ברור שמצדיק מחקר נוסף. אם אכן יוכח שמזון אולטרה מעובד גורם להצטברות שומן בשרירים, המשמעות תהיה שינוי בגישה התזונתית המומלצת, לא רק למניעת השמנה אלא גם לשמירה על מסת השריר.

למרות הממצאים המדאיגים, לחוקרים יש גם מסר מעודד: ניתן להפחית את השומן בשריר באמצעות שינוי באורח החיים. תזונה המבוססת על מזונות בריאים, יחד עם פעילות גופנית סדירה, עשויה לשפר את מצב השרירים לאורך זמן. עם זאת, מדובר בתהליך הדרגתי, שכן השומן לא מצטבר בן לילה, וגם אינו נעלם במהירות. המשמעות פשוטה אבל מהותית: לא רק כמה אוכלים, אלא מה אוכלים, עשוי להשפיע על הגוף ועל הבריאות.

תגיות:
שומן
/
סוכרת
/
מזון מהיר
/
אורח חיים בריא
/
שרירים
/
מזון מעובד
פיקוד העורף לוגוהתרעות פיקוד העורף