פעוטה מצפון הארץ בלעה טבעת ונאלצה לעבור ניתוח חירום - כך זה הסתיים

פעוטה שיחקה בטבעת של אמה ותוך כדי משחק, הכניסה את הטבעת לפה ובלעה אותה. אביה, הבחין כי בתו סובלת מקוצר נשימה וביצע בה תמרון היימליך. היא חזרה לנשום אך הטבעת נותרה תקועה בוושט

אליאב בטיטו צילום: בועז רובין
עקבו אחרינו
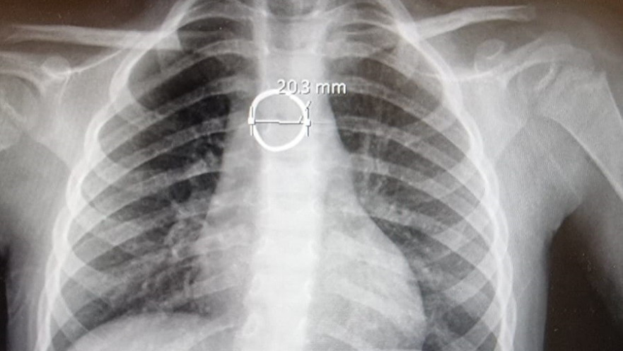
צילום הרנטגן בו נצפתה הטבעת
צילום הרנטגן בו נצפתה הטבעת | צילום: באדיבות בית החולים הלל יפה
2
גלריה
ד''ר סוהיל יחד עם בת השלוש והטבעת בידה
ד''ר סוהיל יחד עם בת השלוש והטבעת בידה | צילום: באדיבות המרכז הרפואי הלל יפה,באדיבות בית החולים הלל יפה

הקטינה הוכנסה לניתוח חירום תחת הרדמה מלאה, ובאמצעות אנדוסקופ (צינור צר וגמיש) שהוכנס דרך חלל הפה לוושט, הצליח ד"ר סוהיל גרה, רופא במחלקת אף אוזן גרון, לשלוף את הטבעת בשלמותה. דימה אושפזה להשגחה במחלקת ילדים כשהיא מרגישה טוב. לגבי הטבעת - הבת תשמור אותה למזכרת בתוך קופסה קטנה.

פרופ' יצחק ברוורמן, מנהל מחלקת אף אוזן גרון וכירורגיית ראש צוואר במרכז הרפואי הלל יפה, ציין: "לא פעם אנו נתקלים בילדים קטנים שבולעים גופים זרים. אני קורא להורים לגלות ערנות ולא לאפשר לילדים לשחק בחפצים קטנים מסוכנים לבליעה. מצבים אלה עלולים להיות מסכני חיים".

תגיות:
חנק
/
בית החולים הלל יפה
/
טבעת
פיקוד העורף לוגוהתרעות פיקוד העורף