מטופל שאף שן בטיפול שהסתבך, אחר בלע פלטה ורישרש: כך זה הסתיים

שני מקרים דרמטיים ויוצאי דופן של מטופלים אשר הגיעו בעקבות שיניים שחדרו לדרכי הנשימה שלהם וסיכנו את חייהם טופלו במהלך חודש אחד במרכז הרפואי "מאיר" בכפר סבא

סתיו נמר צילום: צילום פרטי
פלטת תותבת השיניים של הגבר בשנות ה-50 לחייו
פלטת תותבת השיניים של הגבר בשנות ה-50 לחייו | צילום: דוברות מרכז רפואי "מאיר" מקבוצת "כללית"
2
גלריה

מ' הועבר למרכז הרפואי בעקבות טיפול שיניים שהסתבך בו שאף שן אל תוך הריאה ובהמשך, בניסיון לשלוף את אותה שן החוצה, נוצרה דליפה מסכנת חיים של אוויר בקנה הנשימה.

ד"ר אייל רומם מנהל היחידה לרפואת ריאות פולשנית במרכז הרפואי "מאיר", סיפר כי "המטופל הגיע אלינו במצב סוער מאוד עם חשש אמיתי לחייו. הסברנו למשפחתו כי ללא ביצוע פעולה לחילוץ השן ותיקון הדליפה מצבו ימשיך ויתדרדר. ביחידה ביצענו פעולה מאתגרת ומורכבת לחילוץ השן – שלשמחתנו עברה בהצלחה. בהמשך טופלה הדליפה בקנה הנשימה על ידי סטנט שאיפשר לאזור להבריא. לאחר כחודש וחצי שמחנו להוציא את הסטנט ולראותו שב לביתו בריא ושמח".

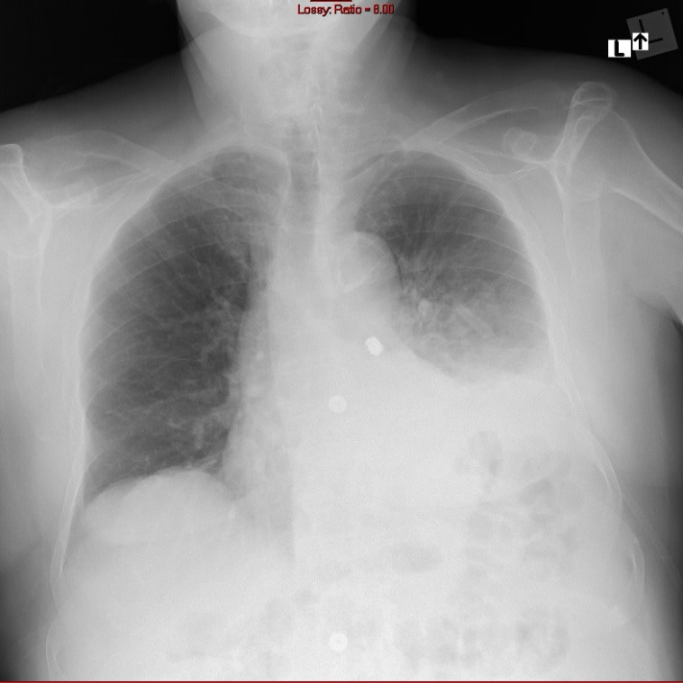
צילום החזה בו נראית השן בתוך הריאות של מ'
צילום החזה בו נראית השן בתוך הריאות של מ' | צילום: דוברות מרכז רפואי ''מאיר'' מקבוצת ''כללית''

"בהמשך החודש הגיע אלינו גבר באמצע שנות ה-50 לחייו עם תלונה על שיעול קל המוכתם בליחה דמית ותחושה של רשרוש בגרון", המשיך ד"ר רומם. "הוא סיפר כי כשבועיים קודם לכן נפל מספסל ונחבל בראשו. המטופל אושפז במחלקת הריאות במרכז הרפואי ובמסגרת בדיקה יסודית הוא עבר בדיקת CT בה הועלה חשד לגוף זר בקנה הנשימה".

לאור ממצאי הבדיקה הוחלט על ביצוע ברונכוסקופיה ביחידת רפואת הריאות הפולשנית. בשיחה עם מנהל היחידה, לפני ביצוע הפרוצדורה שאל ד"ר רומם את המטופל אם במקרה הוא היה אצל רופא שיניים בשבועות האחרונים. "המטופל נזכר כי כשהוא נחבל בעת הנפילה מהספסל אכן עפה לו מהפה פלטת שיניים תותבות אך הניח שהיא הלכה לאיבוד בגינה בה נפל", סיפר ד"ר רומם. "למרבה הפתעתו של המטופל, במהלך הפרוצדורה המורכבת נשלפה הפלטה בשלמותה מקנה הנשימה שלו – מה שהוביל לשמחה רבה מצדו הן הודות לאוויר הנשימה בו זכה והן הודות להשבת הפלטה היקרה לבעליה בשלום".

תגיות:
בריאות
/
שיניים
פיקוד העורף לוגוהתרעות פיקוד העורף