בלע פליימוביל לפני 40 שנה, וגילה זאת כשחשב שיש לו סרטן

גבר מבוהל שרופאיו אמרו לו שיתכן שיש לו סרטן, נדהם לגלות בריאותיו משהו אחריו לגמרי, אותו לא ראה במשך 40 שנים לפחות

מעריב אונליין - לוגו צילום: מעריב אונליין
הרופאים נדהמו ממה שמצאו בתוך ריאותיו של המטופל
הרופאים נדהמו ממה שמצאו בתוך ריאותיו של המטופל | צילום: אינגאימג
3
גלריה

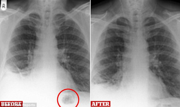
אותו אדם, בן 47, מפרסטון, בריטניה, עישן משך רוב חייו, אך במשך השנה האחרונה השיעול והכיח, שמאפיינים מעשנים כבדים, הלך והחמיר. לאחר שצילומי רנטגן הראו צל קטן על אחת מריאותיו, ולאור היסטוריית העישון שלו, הניחו הרופאים שמדובר בגוש סרטני ושלחו אותו לבדיקות נוספות. אותו גבר הופנה לבית החולים רויאל פרסטון לבדיקת ברונוסקופיה - הליך רפואי בו מוחדר דרך האף או הפה מכשיר עם מצלמה, שבוחן את דרכי הנשימה.

הפליימוביל שבלע הגבר בילדותו. צילום מסך
הפליימוביל שבלע הגבר בילדותו. צילום מסך | הפליימוביל שבלע הגבר בילדותו. צילום מסך

בזכות ההליך הפולשני, התוצאות שלו היו משמחות, והתברר שה"גוש הסרטני" היה קונוס תנועה של פליימוביל, אותו בלע בילדותו. לדבריו של הגבר, הוא אכן קיבל סט פליימוביל בגיל שבע ולא פעם בלע או שאף בטעות חלקים ממנו. המקרה הרפואי, עליו נכתב ב- BMJ Case Reports, הוגדר בידי הרופאים כ"יחיד במינו". הרופאים נדהמו שהצעצוע נשאר במקום כל השנים האלו בלי שהתגלה בבדיקות קודמות.

הרופאים גילו גוש באחת מריאותיו וחששו שיש לו סרטן. צילום מסך
הרופאים גילו גוש באחת מריאותיו וחששו שיש לו סרטן. צילום מסך | הרופאים גילו גוש באחת מריאותיו וחששו שיש לו סרטן. צילום מסך

לדעת הרופאים, זה נדיר שגוף זר לא התגלה במשך 40 שנים. לרוב, כאשר ילד בולע צעצוע מגלים זאת מיד, שכן הם מראי סימני חנק ושיעול. ההשערה שלהם, אותה פרטו בכתב העת, היא שבשל הגיל הצעיר בו בלע הגבר את הצעצוע, הריאות שלו הסתגלו והתפתחו סביבו. "הוא סוף סוף מצא את הפליימוביל האובד שלו, במקום האחרון בו חשב לחפש", נכתב בכתב העת. מעבר לשמחה על כך שלא מדובר בסרטן, לגבר גם הוקל שכן התסמינים שלו הלכו ופחתו, וניכר שיפור משמעותי במצבו ארבעה חודשים לאחר הסרת הצעצוע מגופו.  אם כי לא סביר שהם ייעלמו לחלוטין, בגלל העישון.

תגיות:
עישון
/
צעצועים
/
סרטן ריאות
פיקוד העורף לוגוהתרעות פיקוד העורף