השוטרים פרצו פנימה - היצאנית הסירה את הקונדום ובלעה אותו

נערת ליווי שנתפסה על חם בידי המשטרה נבהלה וניסתה להשמיד ראיות לפעילותה, כמו כן היא גם הכחישה כל מעורבות בפעילות בלתי חוקית. צילום הרנטגן גילה סיפור אחר

מעריב אונליין - לוגו צילום: מעריב אונליין
עקבו אחרינו
בלעה את הקונדום בשלמותו כדי להשמיד ראיות
בלעה את הקונדום בשלמותו כדי להשמיד ראיות | צילום: ingimage ASAP
2
גלריה

דאנג והלקוח נלקחו לחקירה בגין עיסוק וקניית שירותי מין. על פי החשד, לפני כניסת השוטרים לחדר, דאנג משכה את הקונדום מעל איבר מינו של הלקוח שלה, ובלעה אותו בשלמותו במטרה להשמיד ראיות. במהלך חקירתה, דאנג הכחישה כל מעורבות בזנות או פעילות בלתי חוקית אחרת. לצערה, הלקוח שלה הודה כי כשהשוטרים הגיעו הם בדיוק היו באמצע הסקס, ודאנג הסירה מיד את הקונדום.

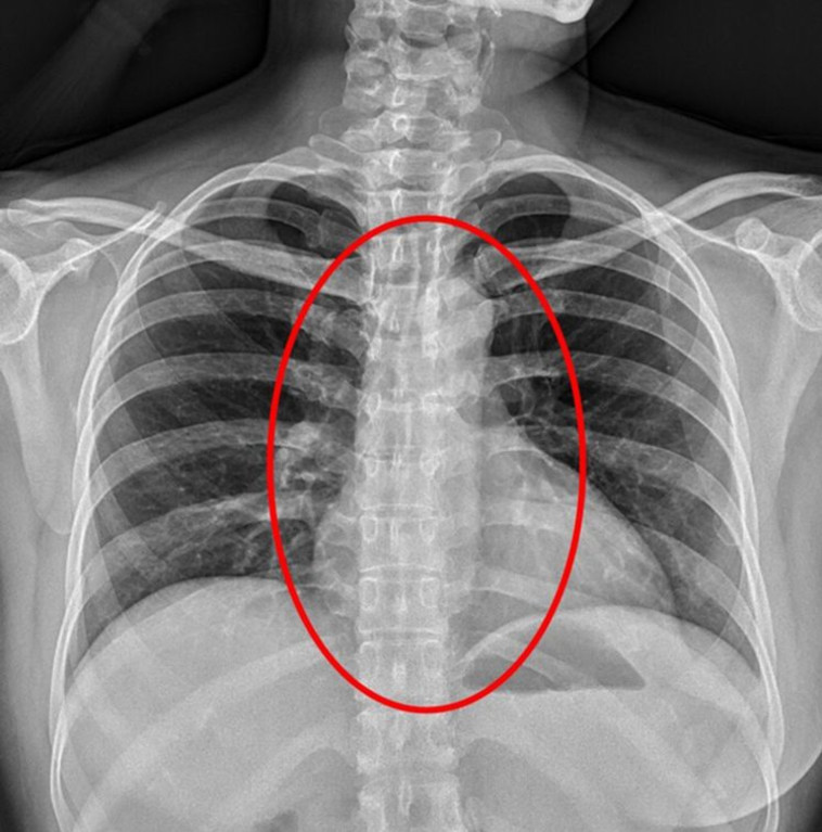
הצל שנמצא בצילומי הרנטגן של היצאנית. צילום מסך
הצל שנמצא בצילומי הרנטגן של היצאנית. צילום מסך | הצל שנמצא בצילומי הרנטגן של היצאנית. צילום מסך

לאחר החקירה, היצאנית המבוהלת נלקחה לבית החולים ג'ן-איי בעיר טאיצ'ונג, שם התגלה "צל" בבית החזה שלה בצילומי רנטגן, שהחוקרים מאמינים שהוא הקונדום. רופאים בבית החולים טענו שאם האישה אכן בלעה את הקונדום, היא סיכנה עצמה בכך שיתכן שהוא נתקע בדרכי הנשימה שלה, או בתוך מערכת העיכול שלה. אם זה מה שיקרה, אמרו, דאנג תאלץ לעבור ניתוח להוצאתו מגופה. אם זאת, יתכן שהוא יתעכל ללא הפרעה ויצא בדרך הטבעית.

דאנג הועמדה לדין  בבית המשפט מקומי במערב טייואן, וקיבלה עונש מאסר של חודשיים, בגין מתן עדות שקרית, על כך שטענה בתוקף שלא קיימה יחסי מין עם הלקוח שלה. אך מאחר שהקונדום לא נמצא באופן רשמי, לא היה ניתן לתת לדאנג עונש בגין השמדת ראיות. הלקוח ועובדת נוספת ב"ספא הבריאות" נוסף נענשו גם הם אך נכון לעכשיו לא ידוע מה עונשם.

תגיות:
רנטגן
/
השמדת ראיות
/
זונה
/
קונדום
פיקוד העורף לוגוהתרעות פיקוד העורף