אחרי 7 שנים: מה חי בתוך מוחה של הצעירה שסבלה ממיגרנות?

אחרי צילומי MRI הרופאים חשבו שמדובר בגידול מוחי, אך במהלך הניתוח להסרתו, התגלתה האמת המזעזעת מאחורי היצור החי שגדל בתוך מוחה במשך שנים - גם הרופאים היו בשוק

לוגו מעריב צילום: מעריב אונליין
עקבו אחרינו
כאב ראש, אילוסטרציה
כאב ראש, אילוסטרציה | צילום: Getty images
2
גלריה

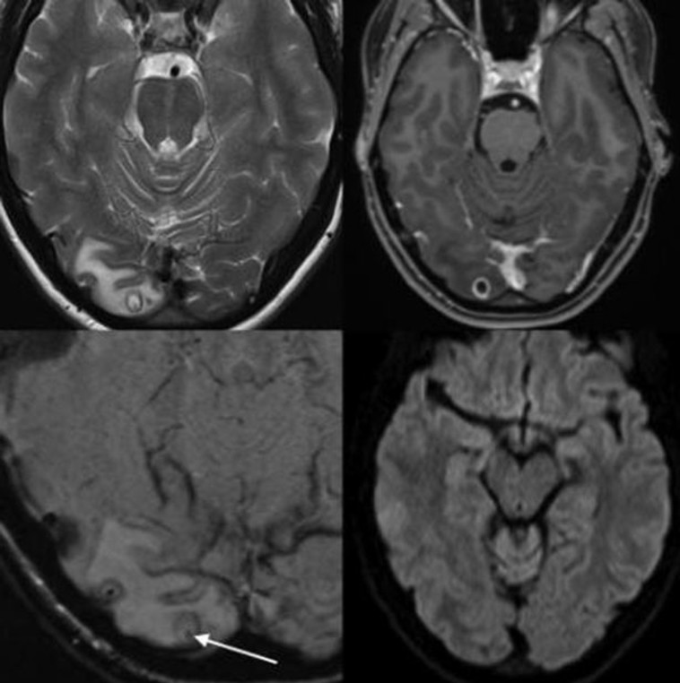
אחרי 7 שנים בהן אישה התלוננה על כאבי ראש ומיגרנות, הרופאים ההמומים גילו את מקור הבעיה ולא האמינו. הרופאים חשדו כי בת 25 מאוסטרליה סובלת מגידול במוח, אך כאשר בוצע הניתוח להסרת הגידול התגלתה האמת ההזויה – זחלי תולעת חיו בתוך ראשה.

מתוך צילום ה-MRI של האוסטרלית
מתוך צילום ה-MRI של האוסטרלית | צילום: The American Journal of Tropical Medicine and Hygiene

מצבה של האישה מכונה "Neurocysticercosis" והוא יכול לגרום לתסמינים נוירולוגים כאשר שהזחלים מתפתחות בתוך מוח האדם. בדרך כלל, הסיכון הממשי הוא לא גבוה אך הכאבים שיכולים להיגרם מכך עלולים להיות חמורים. לאחר הניתוח שעברה הצעירה, היא החלימה מהר ללא צורך בתרופות.

מרכזים רפואיים רבים בכל העולם מזהירים מפני התולעת הפוגענית. כדי להפחית את הסיכון להידבק בזיהום, הם ממליצים על הקפדה באכילת בשר במידת עשייה נכונה ובטוחה, שטיפת ידיים בסבון לפני האכילה ובאופן כללי, העדפת אכילה במקומות בתנאים נקיים ואסתטיים.

תגיות:
מחקר
/
כאבי ראש
/
תולעים
/
מוח
פיקוד העורף לוגוהתרעות פיקוד העורף