ליטר וחצי בשלוק: שתה יותר מדי קולה - ומת

הצעיר רצה להצטנן ביום חם והחליט לשתות בקבוק קר של המשקה האהוב. הצריכה המופרזת הביאה להצטברות קטלנית של גזים בכבד שהביאה למותו

מעריב אונליין - לוגו צילום: מעריב אונליין
שתה ליטה וחצי קולה בשלוק - ומת
שתה ליטה וחצי קולה בשלוק - ומת | צילום: Getty images
3
גלריה

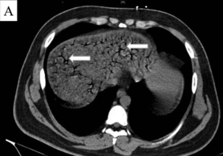
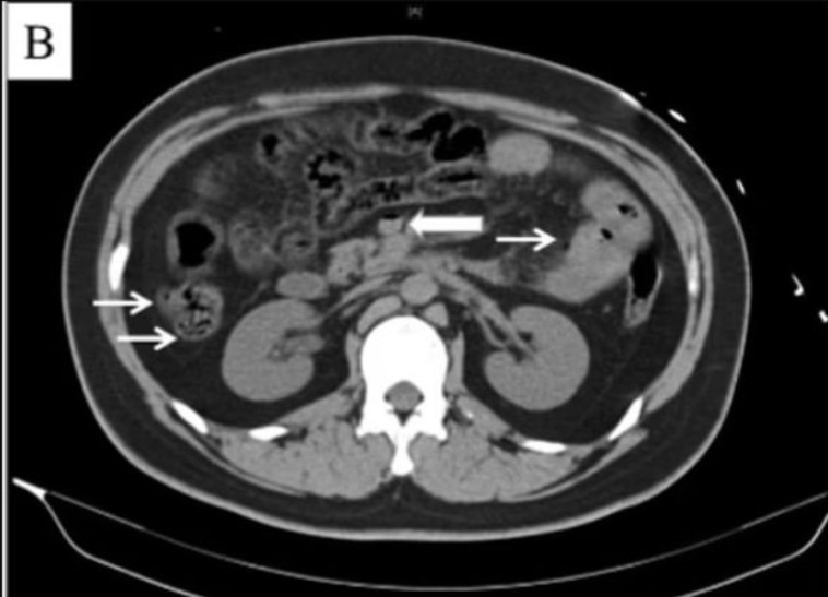
הגבר, ששמו לא פורסם, פונה אל בית החולים רק כשש שעות לאחר ששתה את המשקה התוסס, לאחריו הוא החל להרגיש כאבים עזים בקיבה. תוך מספר שאלות של הרופאים התברר מיד מה מקור הכאבים, ונטען כי כמות הגזים הגדולה במעיים החלה לדלוף מרוב לחץ ופגעה בווריד הפורטל שלו, שהוא אחד מכלי הדם העיקריים בכבד.

צילום ה-CT של המטופל
צילום ה-CT של המטופל | צילום: Chaoyang Hospital
צילום ה-CT של המטופל - B
צילום ה-CT של המטופל - B | צילום: Chaoyang Hospital

כמו כן, בדיקת CT בכבד חשפה כי אותו הבחור סבל מאיסכמיה בכבד, שהיא מעין פגיעה הנגרמת כתוצאה מאספקת חמצן נמוכה לאיבר. המחבר הראשי של דו"ח המקרה, 'צאינג הו, הסביר כי הרופאים ניסו לנקז את הגז ממערכת העיכול של בן ה-22, אך בצער הוא לא הצליח לשרוד את הטיפול והלך לעולמו אחרי 18 שעות מתחילת ההליך הרפואי.

עם זאת, פרופסור בריטי בשם נתן דייויס, ביוכימאי באוניברסיטת לונדון, הסביר בראיון לאתר החדשות MailOnline כי אין זה הגיוני ששתיית בקבוק הקולה יכולה להוביל למוות מהסוג הזה. "הסיכויים למות ממשקה בצורה כזו יכולים להגיע רק אחרי שתיית שלושה ליטרים או יותר. כל מקרה אחרת הוא פשוט לא סביר", טען. לדבריו, ייתכן כי אותו הצעיר סבל מזיהום חיידקי בכבד, שנחשב כגורם ידוע להצטברות גזים.

תגיות:
סין
/
מוות
/
גז
/
קוקה קולה
פיקוד העורף לוגוהתרעות פיקוד העורף