איבר המין השמיע רעשים מוזרים - הרופאים גילו תופעה נדירה ומסוכנת

אדם בשנות ה-70 לחייו סבל ממצב רפואי נדיר ומורכב. הוא הגיע לבית החולים בעקבות שמיעת שריקות מאיבר מינו, ותחושה כללית רעה של קוצר נשימה ונפיחות בגוף. הוא התגלה כראשון בעולם שאשכיו משמיעים קולות משונים

מעריב אונליין - לוגו צילום: מעריב אונליין
שק האשכים השמיע קולות מוזרים, הבעיה הייתה חמורה
שק האשכים השמיע קולות מוזרים, הבעיה הייתה חמורה | צילום: אינג'אימג'
3
גלריה
יותר מדי אוויר, אשכיו של בן ה-72 השמיעו שריקות
יותר מדי אוויר, אשכיו של בן ה-72 השמיעו שריקות | צילום: צילום מסך פייסבוק

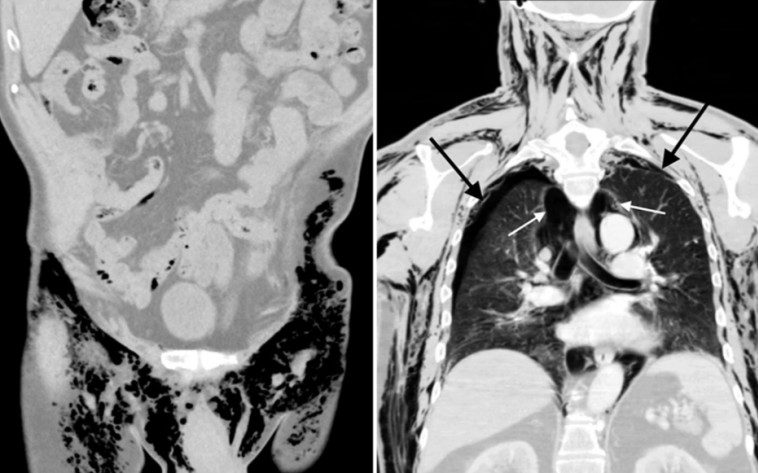
לפי הדו"ח הרפואי, אם לא היה מקבל טיפול בזמן, הדבר היה עלול לפגוע לצמיתות בתפקוד הלב והריאות של האיש, פרט שיכול היה להוביל למוות. מאוחר יותר, התגלה שהמקור העיקרי לשריקות המוזרות מאשכיו של האיש, היה פצע פתוח בצד שמאל של השק. הפציעה נגרמה בעקבות ניתוח אשכים שעבר האיש כחמישה חודשים קודם לכן, כדי להפחית נפיחות ממנה סבל ולאפשר לאוויר שהיה כלוא בגופו לצאת החוצה.

התופעה נקראת pneumoscrotum. זהו מצב נדיר שבו אוויר נלכד בשק האשכים ובספרות הרפואית תוארו 60 מקרים בלבד עד היום. מכיוון שהאוויר לא יכול לצאת החוצה באופן טבעי דרך פתחי הגוף, המקרה דורש בדרך כלל התערבות רפואית. האלמוני סבל מהתופעה במשך שנתיים שתוארו כ"זמן ארוך באופן חריג".

מצב נדיר שבו אוויר נלכד בשק האשכים ובספרות הרפואית תוארו 60 מקרים בלבד עד היום
מצב נדיר שבו אוויר נלכד בשק האשכים ובספרות הרפואית תוארו 60 מקרים בלבד עד היום | צילום: אינג'אימג'

קוצר הנשימה ופניו הנפוחות נבעו מסיבוכים שונים, כך נכתב בדו"ח. שני צינורות הוכנסו לחזה של האלמוני כדי לנקז עודפי אוויר. ריאותיו התאוששו לאחר שלושה ימים בבית החולים והוא שוחרר במצב טוב.

תגיות:
מחלות
/
איבר מין גברי
פיקוד העורף לוגוהתרעות פיקוד העורף