חדשות
הנבחרת
כלכלה
ספורט
תרבות
רכילות
בריאות
פלילים ומשפט
אוכל
תיירות
לרכישת מנוי
חדשות
מבזקים
פוליטי מדיני
צבא וביטחון
פלילים ומשפט
חדשות בארץ
חדשות בעולם
בין החדשות
חינוך
איכות הסביבה
בריאות
הנבחרת
בן כספית
מתי טוכפלד
אבי בניהו
אלון בן דוד
רון קופמן
שלמה מעוז
רון מיברג
נתן זהבי
מיקי לוין
מאיר עוזיאל
כלכלה
כלכלה בארץ
הלאונג'
עסקים בעולם
רכב
נדל"ן
צרכנות
מט"ח
ספורט
כדורגל ישראלי
כדורגל עולמי
כדורסל ישראלי
כדורסל עולמי
ענפים נוספים
תוצאות ספורט
תקצירי ספורט
רכילות
חדשות סלבס
נתפסו בעדשה
סטייל
הכי חמים
אופנה TMF
הישרדות
המירוץ למיליון ALLSTARS
האח הגדול
תרבות
טלוויזיה
מוזיקה
קולנוע
ספרות
אמנות ובמה
יהדות
לוח שנה עברי
פרשת השבוע
חגי ישראל
לוח חגים ומועדים
זמני כניסת שבת
ברכות ותפילות
אוכל
המדור של פסקל
מתכונים
ביקורת מסעדות
ביקורת אוכל
סנהדרינק
לייף סטייל
סגנון מעריב
תיירות
אופנה TMF
ד"ר מאיה רוזמן
המומחים
בריאות
העיתון הדיגיטלי
רכישת עיתון דיגיטלי
העיתונים הדיגיטליים
מנוי לעיתון
מקומונים
מקומון תל אביב
מקומון רמת גן גבעתיים
מקומון פתח תקווה
עיתון דיגיטלי המקומון
עיתון שבע
כרטיסים להופעות
הצגות
סטנד אפ
הצגות ילדים
זאפה הופעות
הופעות בתל אביב
מזג האוויר
טכנולוגיה
הורוסקופ
מעריב
>
ארכיון חדשות מהארץ והעולם
>
אפריל 2023
ארכיון כתבות חדשות מהארץ והעולם 2023 , חודש - אפריל
אפריל 2023
תרשים הזרימה שיציל אתכם מהפללה בחקירת משטרה
13/04/2023
|
15:10
בשיתוף אוביטר
התכוונה לדקור שוטר בשער שכם באמצעות מספריים: תושבת רהט נעצרה בי-ם
13/04/2023
|
14:51
אלון חכמון
חמישה קטינים משדרות נעצרו בחשד לסחיטה באיומים, שוד ותקיפה
13/04/2023
|
14:38
ארנולד נטייב
בגובה עשרות אלפי דולרים: בית משפט ברוסיה הטיל קנס על ויקיפדיה - וזו הסיבה
13/04/2023
|
14:37
שחר ברדיצ'בסקי
חוזרים לכושר: כיצד נפטרים מהמשקל שהצטבר בחג?
13/04/2023
|
14:23
משה כהן
לאחר מות האחים בדרום: המפכ"ל הורה לקיים תחקיר על פעולות החילוץ באזור
13/04/2023
|
13:58
אלון חכמון
"רוח גבית לטרוריסטים": ח"כ מהקואליציה נגד איסור העלייה להר הבית
13/04/2023
|
13:27
103FM
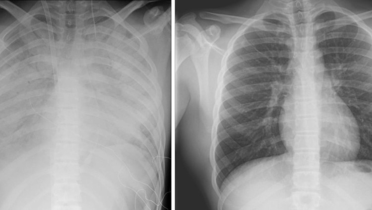
בעקבות שימוש בסיגריות אלקטרוניות: נער בן 16 מאושפז במצב קשה
13/04/2023
|
12:50
אליאב בטיטו
תיעוד שובר לב: דרת רחוב צולמה יולדת על המדרכה לאור יום | צפו
13/04/2023
|
12:48
מעריב אונליין
מנהיגי הקהילה האורתודוקסית נגד לפיד: "חוצץ בין ישראל ליהודי התפוצות"
13/04/2023
|
12:44
ג'רוזלם פוסט
יום שישי מתוח בירושלים? ההצהרה של חמאס לקראת "יום ירושלים" האיראני
13/04/2023
|
12:42
שחר ברדיצ'בסקי
חברתה של סהר עשור ז"ל, שנספתה שנספתה באסון בנחל צחור: "הייתה טהורה, בלי טיפת רוע"
13/04/2023
|
12:28
103FM
147
...
95
94
93
...
1
התרעות פיקוד העורף
14.03.2026 | 16:20
X