חדשות
הנבחרת
כלכלה
ספורט
תרבות
רכילות
בריאות
פלילים ומשפט
אוכל
תיירות
לרכישת מנוי
חדשות
מבזקים
פוליטי מדיני
צבא וביטחון
פלילים ומשפט
חדשות בארץ
חדשות בעולם
בין החדשות
חינוך
איכות הסביבה
בריאות
הנבחרת
בן כספית
מתי טוכפלד
אבי בניהו
אלון בן דוד
רון קופמן
שלמה מעוז
רון מיברג
נתן זהבי
מיקי לוין
מאיר עוזיאל
כלכלה
כלכלה בארץ
הלאונג'
עסקים בעולם
רכב
נדל"ן
צרכנות
מט"ח
ספורט
כדורגל ישראלי
כדורגל עולמי
כדורסל ישראלי
כדורסל עולמי
ענפים נוספים
תוצאות ספורט
תקצירי ספורט
רכילות
חדשות סלבס
נתפסו בעדשה
סטייל
הכי חמים
אופנה TMF
הישרדות
המירוץ למיליון ALLSTARS
האח הגדול
תרבות
טלוויזיה
מוזיקה
קולנוע
ספרות
אמנות ובמה
יהדות
לוח שנה עברי
פרשת השבוע
חגי ישראל
לוח חגים ומועדים
זמני כניסת שבת
ברכות ותפילות
אוכל
המדור של פסקל
מתכונים
ביקורת מסעדות
ביקורת אוכל
סנהדרינק
לייף סטייל
סגנון מעריב
תיירות
אופנה TMF
ד"ר מאיה רוזמן
המומחים
בריאות
העיתון הדיגיטלי
רכישת עיתון דיגיטלי
העיתונים הדיגיטליים
ארכיון
מקומונים
מקומון תל אביב
מקומון רמת גן גבעתיים
מקומון פתח תקווה
עיתון דיגיטלי המקומון
עיתון שבע
כרטיסים להופעות
הצגות
סטנד אפ
הצגות ילדים
זאפה הופעות
הופעות בתל אביב
מזג האוויר
טכנולוגיה
הורוסקופ
מעריב
>
ארכיון חדשות מהארץ והעולם
>
יולי 2023
ארכיון כתבות חדשות מהארץ והעולם 2023 , חודש - יולי
יולי 2023
סצנה מחרידה: דרס את אשתו שוב ושוב וירד מרכבו לוודא הריגה
02/07/2023
|
17:01
מעריב אונליין
במהלך פעילות בנגב: אחיו של בכיר מוניציפלי נעצר בחשד למעורבות בירי
02/07/2023
|
16:54
ארנולד נטייב
מרגישים דחף פתאומי לעשות קקי כשאתם קונים ספרים? אתם לא לבד
02/07/2023
|
16:53
מעריב אונליין
טראמפ, בראד פיט וקהילת הלהט"ב: הסרטון שמעורר סערה בארה"ב | צפו
02/07/2023
|
16:52
שחר ברדיצ'בסקי
חושש מהפרעות בפריז? ההודעה החריגה של המפכ"ל שבתאי
02/07/2023
|
16:47
אלון חכמון
"פשוט זה לא יהיה": בכיר לשעבר בנתב"ג בטיפים לנוסעים לקראת המחאה
02/07/2023
|
16:35
103FM
, אלון חכמון
בכיר לשעבר בצה"ל על טיל הנ"מ הסורי: "כשטיל כזה משוגר, אין יכולת לשלוט במעוף שלו"
02/07/2023
|
16:09
רדיו צפון 104.5FM
להתמודד עם אלימות משטרתית דרך תביעת נזיקין
02/07/2023
|
16:01
בשיתוף אוביטר
באוקראינה טוענים: זה מספר ההרוגים העצום בשורות "כוח וגנר"
02/07/2023
|
15:55
שחר ברדיצ'בסקי
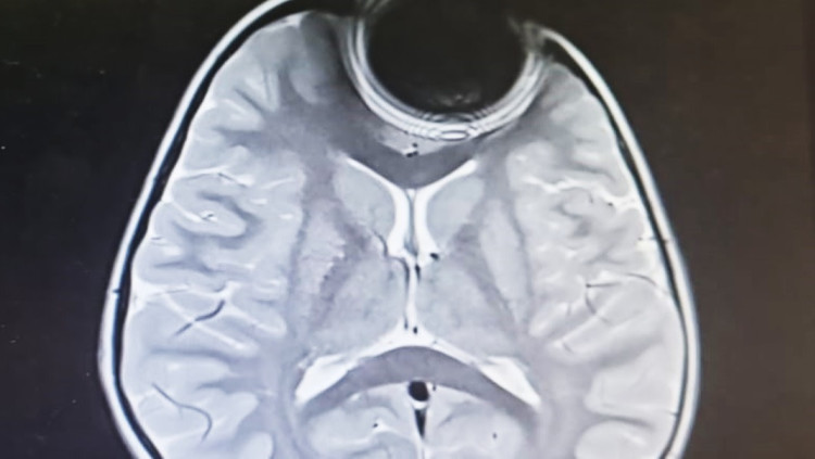
פעוטה פונתה לביה"ח עם כאבי ראש עזים, עצם זר אותר באפה
02/07/2023
|
15:54
סתיו נמר
ההטרלה של הקואליציה: מה מוצע ללפיד כדי לתמוך ברפורמה?
02/07/2023
|
15:48
אנה ברסקי
בצפון מוטרדים מהקמת האוהלים: "חיזבאללה עושה מה שהוא רוצה"
02/07/2023
|
15:39
רדיו צפון 104.5FM
176
...
170
169
168
...
1
התרעות פיקוד העורף
24.12.2025 | 02:30
X